
Tout le monde ne sait pas ce qu'est l'arthrose, cela fait que les gens confondent les méthodes de traitement et ne comprennent pas les principes du diagnostic de la pathologie. L'arthrose est une grave lésion dystrophique qui provoque la lésion du tissu du cartilage dans la grotte intra-articulaire. La complexité de la thérapie est associée à l'irréversibilité des processus, la guérison complète dans le contexte de la médecine moderne ne peut pas être obtenue, mais la gravité des symptômes peut être réduite et la progression de la pathologie est ralentie. Avec le bon traitement, une personne poursuit le mode de vie habituel pendant longtemps.
Qu'est-ce que l'arthrose?
De même, il est plus facile que la maladie soit une maladie des articulations qui entraîne la restreinte de l'amplitude du mouvement et de la douleur. Il n'y a pas de manifestations dans la première phase des dommages, ont une légère gravité et sont lavées. La pathologie progresse progressivement, ce qui est facilité par les changements d'âge dans le corps, le stress, les blessures, etc. Conformément aux statistiques, environ 80% de la population sur 60 ans à partir de l'arthrose.
L'arthrose de l'articulation se développe longtemps, n'affecte initialement que le Hyalink NORP puis se propage aux os, le bol synovial, les muscles et la capsule articulaire entière, contient. Au premier ou au début de l'arthrose, la lésion se manifeste facilement: petite douleur après travail acharné, gonflement, rougeur de la peau. En raison de l'ignorance, les sensations désagréables sont déformées, enflammées et apporte une douleur intense, son point culminant tombe le matin. La maladie se caractérise par la disparition de la douleur après le développement de l'articulation. S'il n'est pas traité, une personne perd complètement la mobilité de l'articulation.

Il existe une forme primaire et secondaire d'arthrose. La pseudo-arthrose (néoartrose) différenciera également - peu de gens savent ce que c'est parce qu'il est formé moins souvent que les autres variétés. La néoarthrose est une fausse articulation, donc le tissu du cartilage augmente dans un endroit inhabituel où des dommages ont été préservés. Il est difficile à traiter, principalement chirurgical.
Il y a une pathologie due aux troubles de la fonction régénérative, de l'immunité ou des dommages mécaniques. En raison de diverses causes de cartilage, il s'adapte. Dans un état normal, le tissu du cartilage reçoit un régime suffisant pour la récupération, mais après un effort physique excessif ou en raison d'une violation des processus métaboliques, les substances n'ont pas le temps de régénérer. La mobilité commune reste dans la première phase. Après avoir réfléchi à ce qu'est l'arthrose une définition, cela vaut la peine d'approfondir le développement de la pathologie plus en détail.
Le mécanisme de développement de l'arthrose, ses types
De nombreux types d'arthrose se développent selon un schéma similaire:
- La lésion primaire affecte le cartilage hyalin. Dans le cas des troubles circulatoires, il y a une détérioration de la force pathologique. Il s'agit de la première étape ou de la première cause que l'arthrose peut se produire.
- Pathologies de revêtement Hyalin. L'amincissement du cartilage conduit au remplacement de ses tissus pathologiques - structures osseuses.
- La croissance anormale apparaît sur le cartilage - ostéophytes.
- La violation de l'anatomie naturelle du cartilage et des os conduit à la surcharge de zones de cartilage saines. La destruction des tissus articulaires sans traitement continue de conduire et entraîne des handicaps.
Si le degré de maladie augmente, les processus pathologiques sont encore pires. En fin de compte, l'ensemble du Hyalink Norp est détruit.
Le dernier degré de la maladie mène:
- Participation au processus osseux pathologique sous et sur les surfaces cartilagineuses;
- Réviation d'une coquille conjointe, mobilité limitée qui conduit à un handicap de 2 degrés;
- Augmentation de la densité de capselDIC;
- Réduction de l'écart dans l'écart de l'articulation, qui peut être ressentie sur l'image. Le stade de la violation est déterminé par l'anxiétéologue diagnostique. Le patient ressent la complexité ou l'incapacité de redresser et de plier complètement le membre.
- Déformation articulaire, le cartilage reçoit une forme irrégulière qui provoque la courbure;
- Détermination dans l'état du patient avec une destruction complète de l'articulation.
Stades d'arthrose
Les maladies conjointes ont 3 niveaux de développement:

- 1 degré. Les troubles morphologiques ont déjà commencé, mais ne sont pas encore frappants. La pathologie influence principalement l'état du liquide synovial, qui offre un pire tissu cartilage avec des composants nutritifs et réduit la force du cartilage. Le stress sur les articulations entraîne une inflammation et une douleur.
- Niveau 2. En raison du manque de pension, les cartouches nécessaires sont détruites. La croissance osseuse est formée à la surface du cartilage. La douleur a acquis un caractère plus prononcé, se renforce après une longue pause et est éliminé par un petit travail physique. La douleur s'accompagne d'une inflammation. Les muscles sont étirés, ce qui entraîne des déficiences faibles ou moyennes des fonctions motrices.
- 3 degrés. Il y a souvent de la douleur, il est difficile de déplacer le membre en raison de changements dans l'articulation. Les lésions sont étendues et sont perceptibles pour le look nu. La déformation de la position articulaire se produit, la zone affectée gonfle et devient rouge. L'axe des membres est perturbé, ce qui conduit à la complexité du mouvement. Les ligaments produisent des changements pathologiques. Les sous-exemplaires et les contractures apparaissent. Les muscles adjacents sont raccourcis ou étirés à partir desquels la fonction contractile est affaiblie.
Causes et facteurs de risque pour le développement de l'arthrose
Les causes de l'arthrose des articulations diffèrent en fonction de la forme de pathologie. La déformation de l'arthrose de l'articulation du coude, de l'articulation de la cheville et de l'arthrose épaule se développe parfois sans causes notables. Il est possible de vous reconnaître avec un médecin, un spécialiste en rhumatologie. Si le problème a précédé le problème, la maladie est décrite comme primaire. La forme secondaire de violation est principalement diagnostiquée et peut provoquer différents États.
Les principales raisons du développement:
- Dommages mécaniques: transferts, fractures, étirement, blessures au ménisque;
- un certain nombre de troubles endocriniens en relation avec des dysfonctionnements dans le travail de l'immunité;
- Pathologies du métabolisme;
- Dysplasie (anomalies congénitales des tissus conjoints);
- a subi une inflammation des articulations;
- Pathologies qui conduisent à une forte mobilité des articulations et à l'affaiblissement des ligaments.
Les patients atteints d'arthrose sont le plus souvent tombés sur une maladie due à des facteurs prédisposants:
- Changements liés à l'âge;
- Léger et augmentation de l'IMC. Une charge élevée sur le joint entraîne une usure rapide des articulations;
- Manque de substances avantageuses;
- Stress excessif sur les articulations. La raison est l'entraînement intensif, le sport, le travail physique dur;
- Des conditions de travail difficiles ou une mauvaise approche pour le sport. S'il existe une tendance génétique aux dommages, aux blessures articulaires ou aux maladies similaires, il est important de garder un programme d'entraînement spécial et d'éviter des exercices traumatisants et difficiles.
- La période de récupération postopératoire ou les opérations complexes transmises en relation avec l'excision d'une grande proportion de substances affectées. De telles conditions influencent négativement la douceur et la résistance du cartilage, la charge doit être minimisée sur eux.
- Tendance génétique, l'arthrose est plus souvent diagnostiquée chez les patients atteints de parents souffrant de même pathologie.
- Le stade de la postménopause, qui se déroule chez les femmes depuis environ 50 ans, est associé à des changements dans le système endocrinien.
- L'effet destructeur des toxines;
- mauvaise situation environnementale dans la région de la résidence;
- Des dommages fréquents à la connexion, parfois les microrises n'apparaissent pas depuis longtemps.
- Règlement;
- Pathologie de la partie lombaire et col de l'utérus de la colonne vertébrale.
Ostéoarthrite primaire

L'arthrose primaire est formée indépendamment, c'est-à-dire sans l'influence de causes internes ou externes. La défaite se développe assez lentement à travers le cartilage Hyalink. Il est rarement diagnostiqué, il ne représente que 3 à 5% de tous les cas.
Arthrose secondaire
L'arthrose secondaire se trouve le plus souvent dans un ordre de 95 à 96% des cas. Ils sont provoqués par l'une des pathologies ci-dessus.
Signes et symptômes de l'arthrose
Selon la localisation, les manifestations de la maladie diffèrent à peine, plus fréquemment, les signes se reflètent sur les articulations du genou, de l'épaule et de la hanche en raison d'une charge élevée.
La plupart des plaintes surviennent:
- Douleur. Ils ont une faible lourdeur dans la phase initiale, l'état de sensation s'est intensifié. Au début, les articulations ne font mal qu'après le réveil après un léger réchauffement ont disparu. Au fil du temps, la douleur apparaît la nuit, ils dérangent pendant et après avoir marché pendant longtemps, courir, etc. Dans la dernière étape, le syndrome de la douleur suit une personne tout le temps;
- Amplitude limitée des mouvements. La rigidité des effets indique des changements anatomiques dans la structure. Il se manifeste d'abord le matin, puis les mouvements quotidiens sont limités. Afin de ne pas resserrer la maladie, le travail doit être diversifié et léger, sinon le patient ne peut pas déchiffrer et appuyer sur le membre au fil du temps. Au fil du temps, il existe un risque de contrat à partir duquel une personne perd la capacité motrice.
- Couronne dans les mouvements - C'est l'une des manifestations non spécifiques de l'arthrose. La maladie est caractérisée par la survenue d'un croquant dans une seule articulation (à l'exception de la polyarthrose), accompagnée de symptômes, de douleur et d'effets limités. La nature de l'électricité est ondulée - au début, elle se manifeste faible, augmente progressivement, mais disparaît dans 3 stades;
- Gonflement avec rougeur. Il est localisé près de l'articulation malade. Cela indique un processus inflammatoire et la progression de la maladie. Le médecin comprend que le bol synovial est affecté et provoque l'accumulation de liquide et une douleur accrue.
Membres limités. Si apparaît sous une forme négligée de la maladie, la destruction complète du tissu du cartilage et l'occurrence des ostéophytes indiquent. Dans cet état, la pression augmente sur les joints en haut et en dessous, à partir de laquelle la courbure peut affecter l'ensemble de la liaison.
Il est important de se rappeler que la déformation des os sur la jambe est souvent confondue avec le maïs. À première vue, le symptôme est mal dangereux, mais entraîne de graves conséquences.
Complications
Tout d'abord, des méthodes de thérapie conservatrices sont utilisées pour le traitement. Si vous êtes inefficace ou si le patient ignore les recommandations du médecin, il y a un risque de conséquences.
Complications possibles:
- L'articulation est complètement détruite;
- Le membre est immobilisé, tous les mouvements sont extrêmement difficiles;
- Vertèbres intermédiaires;
- Invalidité;
- Forte déformation de l'articulation ou du membre entier.
Diagnostic d'arthrose
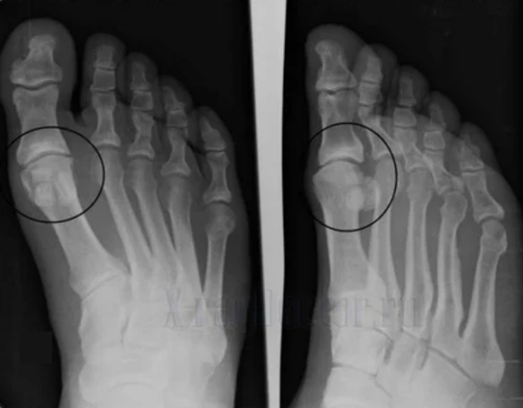
Pour poser un diagnostic, les rhumatologues examinent les symptômes du patient et prescrivent un examen X-Ray. La plupart du temps, la radiographie est utilisée dans 2 projections. Le médecin examine la présence de troubles dystrophiques dans le cartilage hyalin et les articulations osseuses. Lorsque l'espace articulaire est réduit, les os sont déformés ou aplatis, il existe des formations kystiques à la surface du cartilage, les ostéophytes sont des signes évidents d'arthrose. Pendant l'inspection, l'arthrose montre l'instabilité de l'articulation: l'axe des membres et la subluxation est perturbé.

Souvent, une image de rayons x n'est pas en mesure de fournir des informations complètes sur l'état de l'articulation. La tomographie par ordinateur est prescrite pour une étude plus approfondie et il est efficace d'examiner les os. L'IRM est utilisée plus souvent pour examiner les tissus mous.
Au cours du diagnostic, la participation d'autres spécialistes est pratiquée qui aide à déterminer la cause fondamentale de la pathologie. Utilisez souvent la consultation d'un hématologue, endocrinologue, gynécologues, orthopédie.
Traitement moderne
Il existe des centaines de thérapie arthrose, mais tout le monde est dû à un certain nombre de méthodes:
- Traitement médicamenteux. La tâche principale est de lutter contre les symptômes et de prévenir le développement ultérieur d'une violation. Dans la plupart des cas, des analgésiques sont utilisés pour soulager la douleur, les médicaments antoïdeurs non stéroïdes pour lutter contre l'inflammation, les médicaments hormonaux pour une douleur intense et une inflammation aiguë. Chaque cours est basé sur des chondroprotecteurs qui protègent le tissu du cartilage de la destruction. Les substances naturelles sont utilisées pour leur production.
- Physiothérapie. Améliore l'efficacité des médicaments, lutte contre l'inflammation, soulage les symptômes, accélère la régénération du tissu. Utilisation le plus fréquemment utilisée, la thérapie laser magnétique et magnétique. Cela comprend également des bains de boue, des applications avec des matériaux naturels, des bains de radon;
- Éducation physique médicale. Il est utile à la fois comme prévention et le soulagement de la condition. Après les bons exercices physiques, il est possible d'éliminer complètement la douleur. Il est utile de visiter la piscine, de faire face au yoga et de y aller souvent.
- Thérapie manuelle, le massage aide au traitement de la maladie car ils aident à prévenir la courbure des articulations. Après des blessures, le thérapeute manuel est en mesure de suspendre l'articulation et d'empêcher sa fixation dans la mauvaise position. Après le massage, le ton musculaire est amélioré, la circulation sanguine est accélérée.
- Vraie nutrition. Une alimentation saine aide à enrichir le corps en nutriments pour le cartilage et à réduire le poids corporel. Une grande masse augmente l'usure des articulations;
- Le traitement de Sanatorium Resort renforcera les articulations. Dans le cadre de la guérison, des sanatoires se voient offrir une balneothérapie, une thérapie de formation, des méthodes de physiothérapie, etc.;
- Thérapie non traditionnelle. Pour traiter l'arthrose, les huttes, les APP, les APP et les herbes ainsi que l'acupuncture et divers référendums sont utilisés;
- L'intervention chirurgicale est le seul moyen de revenir à la vie habituelle au troisième stade de la maladie. Avec les endoprosthétiques, vous pouvez remplacer le cartilage patient par l'implant. Le seul inconvénient de l'entreprise est les coûts élevés. Une procédure est suffisante pendant 15 à 20 ans.
Mesures préventives
De sorte que l'arthrose de l'articulation ne se dérange pas dans la vieillesse:
- maintenir un mode de vie sain;
- empêcher de fortes charges;
- observer un régime;
- Exclure les mauvaises habitudes;
- Effectuer une gymnastique tous les jours;
- Suivez le poids.
L'arthrose est une maladie dangereuse qui est beaucoup plus facile à prévenir que la guérison. Avec la recherche en temps opportun d'un médecin et le respect des règles de traitement, le patient peut maintenir un style de vie familier pendant longtemps. Le manque de thérapie et d'auto-médication provoque la détérioration rapide de la maladie et, finalement, l'invalidité.

























